1 min read

Fix an Acid-Fast Organism That’s Not Retaining Dye

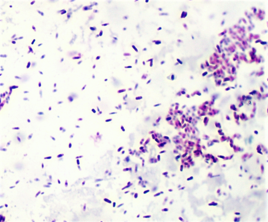
Acid-fast organisms are typically found when looking for things like tuberculosis and other respiratories or another mycobacterial infection. These highly contagious bacteria call for specific personal protective equipment and often require special protocol to ensure no contamination is possible, either of the laboratory technicians or to other specimens.

Acid-Fast Organism

Acid-fast organisms have cell walls that are resistant to conventional staining. Acid-fast stains work to promote the uptake of the dyes. Once stained, these organisms are not easily decolorized (even with alcohol or acid acetone solutions). This is where they get the name “acid-fast.” 

Carbol fuchsin is used as the primary dye for acid-fast organisms because it is more soluble in the cell wall lipids than in the acid alcohol, so the organism will retain the dye’s red color. The decolorizer is used to remove the dye from any non-acid-fast organism, making this organism easy to isolate and identify from acid-fast organisms.


The common issues that occur with acid-fast organisms is that the organism doesn’t retain the stain or it fails to stain properly. As a result, the organism may show little-to-no red coloring. 


If the acid-fast organism isn’t retaining the dye as expected, perform the Modified Kinyoun stain protocol instead. This modifies the stain as a weaker acid-fast stain than the Ziehl-Neelsen method, using sulfuric acid instead of hydrochloric acid.

  1. Flood the slide with Kinyoun’s carbol fuchsin for 5 minutes.
  2. Rinse the slide briefly (3-5 seconds) with 50% ethanol.
  3. Decolorize with 1% sulfuric acid for 2 minutes, or until no more color runs from the slide.
  4. Rinse the slide with water, then drain.
  5. Counterstain with methylene blue or brilliant green for 1-3 minutes.
  6. Rinse with water, then air dry.


The weak acid fast stain should stain organisms that were not able to retain the carbol fuchsin after decolorizing.


Download our ebook, Lab Technician’s Guide to Troubleshooting Common Issues with Biological Stains, for more troubleshooting tips for microbiology specimen staining.

1 min read

How To Improve Nuclear Staining in Histology Slides

Looking to improve nuclear staining in your histology slides? We can help! Histology specimens generally require a clear distinction between the...

Read More
How to Set-Up and Conduct an Acid Fast Stain

1 min read

How to Set-Up and Conduct an Acid Fast Stain

Acid Fast stain – Ziehl Neelsen

Read More