Ethos Biosciences Blog
LEARN, TROUBLESHOOT, AND BE INSPIRED
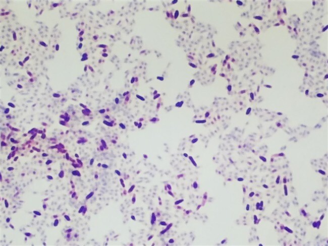
Acid Fast stain – Ziehl Neelsen
When selecting a fixative for your specimen, whether it be histological or cytological, preserving t...
Wright’s, Wright-Giemsa and Giemsa stains follow the same protocol, with the second step being swapp...
Choosing between Wright’s stains or Wright-Giemsa stains for your hematology specimens is often more...
Acid-fast organisms are typically found when looking for things like tuberculosis and other respirat...
Drive people to your products and services
Lorem ipsum dolor sit amet, consectetur adipiscing elit, sed do eiusmod tempor incididunt ut labore et dolore magna aliqua.