When selecting a fixative for your specimen, whether it be histological or cytological, preserving...
How to Set-Up and Conduct a Papanicolaou Stain for Both GYN and Non-GYN Samples
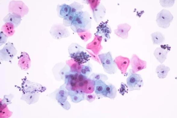
As cytological specimens, Papanicolaou stains are often best conducted with Gill Hematoxylin 1X or 2X. Typically, we first think of Pap tests (Pap smears) as a specific type of cytological test identifying cancerous cells in cervical tissue. However, Pap stains can also be conducted on non-gynecological specimens from a variety of bodily secretions and from small needle biopsies of organs and tissues.
Hematoxylin Gill 1X is often perfect for these tests because it is the lightest basophilic stain. It doesn’t overstain the specimen, but it complements the other aspects of the specimen, such as the cytoplasm. Rarely is any stain more intense than 1X Gill Hematoxylin needed for this specimen type. Occasionally, Hematoxylin Gill 2X is selected, specifically when testing specimens for cellular abnormalities or if your pathologist just prefers a darker purple stain.
Although Hematoxylin Gill 1X is a perfect stain choice for cytological specimens, another option that is also a good choice while providing a darker stain, if needed, than the Gill 1X is the Harris Hematoxylin, Acidified. It can be used as a progressive stain to give results congruent with Gill 2X.
All of the above mentioned hematoxylin stains complement the OG and EA stains in the protocol without over-staining the specimen.
Protocol for Gill’s 1X and 2X Hematoxylin stain for Papanicolaou stains
- Fix Pap smears in 95% Ethanol: 15 minutes
- Rinse gently in DI water: 30 seconds
- Stain in hematoxylin solution, Gill 1X or Gill 2X: 1½ to 3 minutes
- Rinse gently in DI water: 1 minute
- Bluing Reagent: 15 to 60 seconds
- Rinse gently in DI water: 30 seconds
- Ethanol 95%:10 dips
- Papanicolaou Stain OG-6: 1 to 2 minutes
- Reagent Alcohol, 95%: 10 dips
- Papanicolaou Stain EA 50 or Papanicolaou Stain EA 65: 2½ to 3 minutes
Note: the number indicates the proportion of the dyes. Use EA 50 for gynecological samples; and EA 65 for non-gynecological samples.
- Ethanol 95%, two changes: 10 dips each
- Ethanol 100%, two changes: 1 minute each
- Xylene or Xylene substitute, two changes: 1 minutes each
- Coverslip using Acrylic Mounting Medium, and examine under microscope
About Ethos Biosciences & Our Commitment to You
At Ethos Biosciences, we provide a number of cytology products. Pap stains are used in conjunction with Hematoxylin nuclear stains in the diagnosis of malignant cytological diseases. Gynecological staining protocols use OG-6 and hematoxylin, along with either EA-36 or EA-50, as referenced in the protocol above. Non-gynecological procedures require use of EA-65. Astral’s EASYpap is a single step cytology staining solution. With its combination of EA and OG-6 solutions, this product saves time by providing our customers with an easy, one-step process.
Our commitment to quality is why we offer on-staff experts in the fields of hematology, histology, cytology, and microbiology. Here are just a few ways we’ve committed ourselves to quality for our customers:
- When we do performance testing, we test our dyes and stains using the instruments technicians are currently using in the field. We not only test the chemical formulation to make sure the dyes concentration is adequate, but we go one step further and test our products in-use (manually and on auto-stainers) to make sure they meet our performance criteria of excellent intensity and differentiation of target cellular components.
- We are fully integrated and produce our own dyes, allowing us to control the process and product quality. In addition, we find ways to decrease lot-to-lot variability by sourcing our raw materials in large batches. You get the same consistent, high quality performance with each shipment. In fact, consistency is a key performance indicator we measure against.
- To avoid particulates in the stains, we perform gravity filtration as opposed to pump filtration – and use filters with a 0.2 micrometer nominal pore size. This keeps particulates to a minimum.
