Celebrating Medical Laboratory Professionals

Every year, a collaboration of 18 national clinical laboratory organizations honor medical laboratory professional by declaring the first full week of April as Medical Laboratory Professionals Week. In step with the professional organizations, Ethos Bioscience appreciates the invaluable service these professional make to healthcare across the globe.
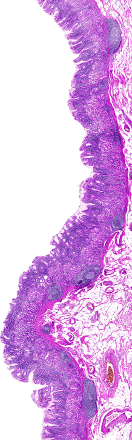
Our Ethos Biosciences team manufactures the biological dyes, stains, and general reagents used by laboratory professionals and pathologists for cytology, histology, and microbiology procedures. Our team includes laboratory professionals that test our products to ensure they will perform as needed to get the information essential for informed medical decisions. We also supply accessory materials such as embedding and mounting media, hematology buffers, and supplies for specimen preparation and processing.
Medical lab professionals use highly specialized instruments to analyze samples like tissue, blood, urine, and bodily fluids that not only require technical knowledge, but also a bit of artistic talent. Whether they’re in a clinical facility, in a hospital, or at a research organization, the information gleaned by lab professionals is essential for timely information to facilitate medical decisions.
What is a Medical Laboratory Professional?
Medical Lab Professionals generally never meet a client face-to-face and often work directly with a practitioner. That’s because testing can take place across a variety of locations, most often in a hospital, an independent reference lab, a public health laboratory, home testing, direct access testing, and point-of-care (POC).

Unlike the name suggests, there are a large number of professions that are part of the medical laboratory community, and they impact many applications, including human pathology, veterinary pathology, clinical research, and in vitro diagnostics. Our most common products are here to support their work, and, at Ethos, we can say ‘We’ve got a product for that!’

Career Pathways for Medical Laboratory Professionals
- Laboratory Director is a board-certified medical doctor, PhD scientist or a medical laboratory scientist. Many are pathologists, using our stains and dyes to interpret biopsy results, pap tests and cytologic samples. An LD manages the overall operations with a laboratory.
- Pathologists contribute to disease diagnosis through the examination of tissue samples, blood, and other bodily fluids. Trained specifically to read results for biological samples, pathologists work with a primary care physician (PCP) to identify and rule out diseases and conditions. Pathologists often sub-specialize in organ systems such as nerves/brain, kidney, blood and skin. Our certified dyes along with strict adherence to quality assurance procedures provide the foundation for products that provide pathologists with excellent morphological differentiation for their important role in identifying root causes for different symptoms.
- Medical Lab Scientists, Technologists, and Clinical Laboratory Scientists are responsible for performing routine and highly specialized tests. Utilizing a microscope, they examine specimens for a variety of pathogens.
- Clinical Laboratory Technologists or Medical Laboratory Technologists perform routine testes in all areas of the clinical laboratory utilizing instrumentation and techniques to perform tests.
- Phlebotomists are primarily client facing, working directly with the patient to draw blood for the tests performed by the above roles.
- Additional and more specialized roles within the above include pathology assistant, cytogeneticist, cytotechnologist, histotechnologist, and histologic technician.